Każdy chce, żeby jego zęby były idealnie białe, i tylko jednym ze swoich uśmiechów mógł doprowadzić wszystkich do szaleństwa.  Jednak nie wszystkie z powodu indywidualnych cech ciała mogą się nim pochwalić. 
Jeśli twoje zęby nadal nie będą miały śnieżnobiałego koloru, i będziesz je czyścił każdego dnia i przeprowadzasz inne niezbędne manipulacje, a następnie przy użyciu nowoczesnych technologii komputerowych i programów, możesz wybielać je.
Chodzi o program Photoshop. Żółty kolor nie bardzo koloruje idealnie wykonane zdjęcia, powodując odrazę i chęć usunięcia ich z pamięci aparatu lub innego urządzenia takiego planu.
Wybielić zęby w programie Photoshop CS6 nie jest wcale trudne, do takich celów istnieje kilka technik. W ramach tego artykułu postaramy się zrozumieć wszystkie subtelności i niuanse wysokiej jakości wybielania komputerowego. Dzięki naszej rady radykalnie zmieniasz swoje zdjęcia, podając się za siebie, swoich przyjaciół i rodzinę.
Przede wszystkim otwórz zdjęcie, które chcemy poprawić. Jako próbkę bierzemy zęby w powiększonej formie zwykłej kobiety. Wszystkie wstępne działania (poziom kontrastu lub jasności) muszą być wykonane przed samym procesem bielenia.

Następnie zwiększamy obraz, klikając klawisze CTRL i + (plus). Robimy to z wami do tego czasu, czas na pracę z obrazem nie stanie się komfortowy.
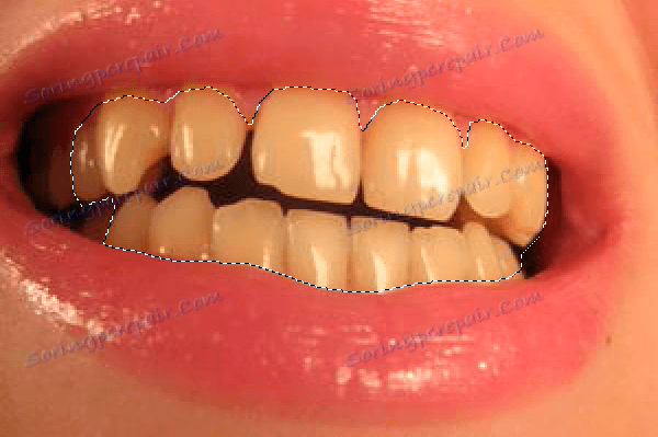
W kolejnym etapie musimy wybrać zęby na zdjęciu - "Lasso" lub po prostu wybrać. Zestaw narzędzi zależy tylko od twoich pragnień i konkretnych umiejętności. W ramach tej historii użyjemy "Lasso" .


Wybraliśmy pożądaną część obrazu, następnie wybierz "Podświetlanie" - Modyfikacja - Pióro " , możesz zrobić inaczej - SHIFT + F6 .

Zakres jest określany w rozmiarze jednego piksela dla zdjęć o małych rozmiarach, dla większych od dwóch pikseli i wyższych. Na koniec kliknij "Ok" , więc naprawiamy wynik i zapisujemy wykonaną pracę.

Proces wtapiania służy do rozmycia krawędzi między częściami obrazu, które są podświetlone i nie są podświetlone. Taki proces sprawia, że rozmycie staje się bardziej wiarygodne.
Następnie kliknij "Warstwy korekcyjne" i wybierz "Barwa / nasycenie" .

Następnie, aby zrobić białe zęby w Photoshopie, wybieramy żółty kolor, naciskając ALT + 4 , i zwiększamy poziom jasności przesuwając suwak na prawą stronę.

  Jak widać, zęby modelu mają również obszary koloru czerwonego. 
  Naciśnij klawisze ALT + 3 , powodując czerwony kolor i przeciągnij suwak jasności w prawo, aż czerwone obszary znikną. 

W końcu osiągnęliśmy całkiem niezły wynik, ale nasze zęby okazały się szare. Aby ten nienaturalny odcień zniknął, musisz zwiększyć nasycenie żółtego koloru.

Stało się więc znacznie atrakcyjniejsze, oszczędzamy naszą pracę, naciskając "Ok" .
Aby poprawić i zmodyfikować swoje zdjęcia i obrazy, mogą istnieć inne techniki i metody o różnym stopniu złożoności niż omówiliśmy w tym artykule.
Aby je studiować, można w trybie niezależnym "grać" z tymi lub innymi korektami i cechami. Po kilku próbnych manipulacjach i złych wynikach, uzyskasz dobrą jakość edycji zdjęć.
Następnie możesz zacząć porównywać oryginalny obraz przed dopasowaniem i na końcu po prostych akcjach, które Ci się udało.
Co w końcu uzyskaliśmy po wykonaniu pracy i użyciu Photoshopa.

I osiągnęliśmy doskonałe wyniki, żółte zęby zupełnie zniknęły, jakby nigdy nie istniały. Jak zauważyliście, patrząc na dwa zupełnie różne zdjęcia, śledząc wyniki naszej pracy i proste manipulacje, zęby nabrały odpowiedniego koloru.
Po prostu używając tej lekcji i wskazówek, możesz edytować wszystkie obrazy, na których ludzie olśniewają uśmiechy.